21.10.2013, 12:28 | Перник | На пътя
СПОДЕЛИ:
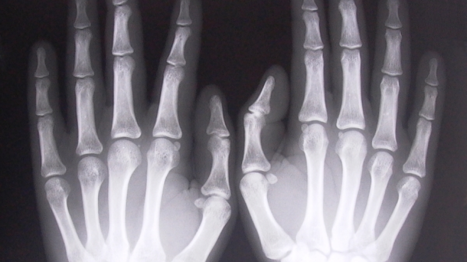
14-годишно момче е пострадало при катастрофа в Радомир.
Инцидентът е станал вчера около 12 ч. на кръстовището на улиците „Никола Вапцаров” и „Струма”.
Лек автомобил „Волво”, управляван от 48-годишната Д.К. от Радомир, при движение на заден ход удря мотоциклет „Априлия”, шофиран от неправоспособно 14-годишно момче. Пострадал е непълнолетния, който е с фрактура на китка на ръка, без опасност за живота. Настанен е в „Пирогов” – София за лечение. Двамата водачи не са употребили алкохол.
Започнато е досъдебно производство и работата продължава.
Следи от мечка и малко мече са открити по тялото на мъжа, намерен край хижа "Рудничар"
17.05.2026, 15:05 | Перник
Мечка или куче е нападнала и убила мъжа над Перник във Витоша
17.05.2026, 12:23 | Перник
Откриха обезобразено тяло във Витоша
16.05.2026, 15:55 | Перник
Привлекоха като обвиняем мъж за държане на 150 000 кутии цигари без бандерол
16.05.2026, 15:12 | Перник
САС потвърди: 8.5 години затвор за младия Даниел за убийство заради счупено чуждо огледало
16.05.2026, 12:15 | Перник
Известен водещ разказа за наркотичната зависимост на ученици в Перник
16.05.2026, 08:14 | Перник
Следи от мечка и малко мече са открити по тялото на мъжа, намерен край хижа "Рудничар"
17.05.2026, 15:05
Мечка или куче е нападнала и убила мъжа над Перник във Витоша
17.05.2026, 12:23
Владимир Владимиров стана абсолютен шампион на турнира по силов трибой „Батановска сила“
17.05.2026, 09:01
“ABBA Forever” препълни залата на театъра в Перник
17.05.2026, 07:42
813 абитуриентите от Перник от випуск 2026. Пълен график на баловете по училища
17.05.2026, 00:36
Откриха обезобразено тяло във Витоша
16.05.2026, 15:55
Привлекоха като обвиняем мъж за държане на 150 000 кутии цигари без бандерол
16.05.2026, 15:12
САС потвърди: 8.5 години затвор за младия Даниел за убийство заради счупено чуждо огледало
16.05.2026, 12:15
Фестивалът „РестАрт“ с ново послание под наслов „Нашата история. Нашето време“
16.05.2026, 09:54
Жълт код за порои и гръмотевици в Пернишко
16.05.2026, 08:35
Известен водещ разказа за наркотичната зависимост на ученици в Перник
16.05.2026, 08:14
Пресекоха канал за контрабандни цигари от Гърция, отбиха камионите край Перник
15.05.2026, 13:05
За първи път столетник в с. Расник. Дядо Гочо още сам коси ливадата
15.05.2026, 11:40
Две големи събития в Перник тази седмица
15.05.2026, 10:48
Заради студена вода и аварии: Омбудсманът поиска компенсации и извънредна проверка на „Топлофикация – Перник“
15.05.2026, 10:42
МВР със засилени мерки заради баловете, ето за какво предстоят засилени проверки
15.05.2026, 10:04
Откраднаха кросов мотор от гараж в Перник
15.05.2026, 10:00
60-годишен задигна моторен трион, бил познат на МВР
15.05.2026, 09:58
Росен Петров препълни залата в музея в Перник
15.05.2026, 07:23
Шопски хумор, песни и танци от Трънско и Пернишко на XVII „Шопски празник" в Долни Богров
15.05.2026, 06:44
Следи от мечка и малко мече са открити по тялото на мъжа, намерен край хижа "Рудничар"
17.05.2026, 15:05
Бившият на Дара с коментар след триумфа й на "Евровизия"
17.05.2026, 12:49
"Евровизия 2027" в България : Ето колко ще струва и какви ще са ползите
17.05.2026, 12:38
Майката на DARA проговори: Евровизия е по-зле от казарма
17.05.2026, 12:36
Мечка или куче е нападнала и убила мъжа над Перник във Витоша
17.05.2026, 12:23
СЗО бие тревога : Рядък щам на ебола плъзна в Конго и Уганда
17.05.2026, 12:16
Най-чаканата прегръдка : DARA в обятията на Ервин
17.05.2026, 12:02
Великата Лили Иванова поздрави DARA и ѝ пожела още много успехи
17.05.2026, 11:57
Премиерът поздрави Дара : Българска победа с глобален резонанс
17.05.2026, 09:25
Владимир Владимиров стана абсолютен шампион на турнира по силов трибой „Батановска сила“
17.05.2026, 09:01
Тестват първата БГ летяща кола
17.05.2026, 08:56
30 евро за Цеца в Арената!
17.05.2026, 08:53
След оттеглянето от музикалния бизнес: Митко Димитров строи грандиозен комплекс на „Цариградско“
17.05.2026, 08:48
Ергенката Венета проси пари, гадже наркоман я вкарва в огромни дългове
17.05.2026, 08:46
След неправилно паркиране: Депутат повика екип на КАТ, за да бъде глобен
17.05.2026, 08:43
Турция предлага изграждането на военен тръбопровод за гориво към Румъния през България
17.05.2026, 08:39
Левски отново е господарят във Вечното дерби
17.05.2026, 08:35
Предупреждение за порои в 6 области днес, новата седмица започва с вятър
17.05.2026, 08:25
СЗО обяви извънредна ситуация заради огнище на ебола
17.05.2026, 08:22
Илияна Йотова представя България на Срещата на върха на Световния градски форум в Баку
17.05.2026, 08:19
АНКЕТА